Skip Menu
Continue
800 Community Drive, Suite 305, Manhasset, NY 11030
(516) 399-4255
  • Home
  • About Us
    • Our Office
    • Office Tour
    • New Patients
    • Smile Gallery
    • Dental Videos
    • Testimonials
  • Meet Our Doctor
    • Nicholas Tucci, DMD
  • Services
      • Ceramic Crowns
      • Dental Bridges
      • Dental Cleanings
      • Dental Fillings
      • Dentures
      • Dexis Digital X-Rays
      • Emergency Treatment
      • Implant Dentistry
      • Night Guards
      • Oral Exams
      • Preventive Program
      • VELscope®
    • View All
  • Dental Health
  • Contact
    • Contact Us

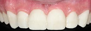
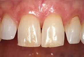
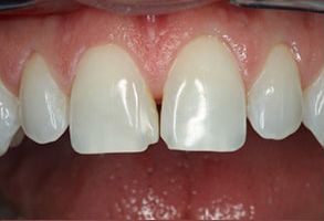
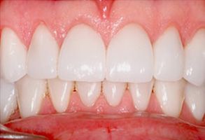
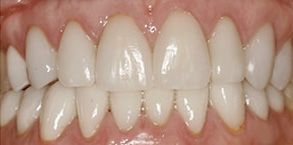
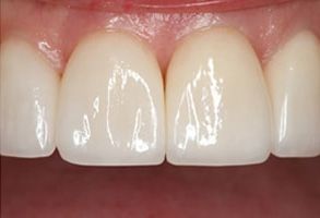
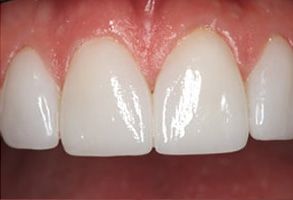
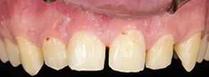
Smile Gallery

800 Community Drive, Suite 305
Manhasset, NY 11030